Inicio

Un chip insertado en el ojo ha devuelto la vista a 32 personas

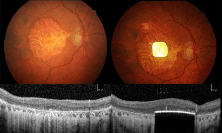
Gracias a PRIMA, un microimplante retiniano fotovoltaico del grosor de una tarjeta SIM, más de 30 personas recuperaron parcialmente la vista. Es el primer chip que restaura visión funcional.

  • play_circle_filled

    Fm Masters
    En Vivo

play_arrow skip_previous skip_next volume_down
playlist_play